Ependimoma

Los ependimomas son los tumores cerebrales más frecuentes en niños, aunque pueden aparecer en cualquier edad. Estos tumores son un tipo de glioma originado en las células ependimarias que recubren el sistema ventricular y/o la médula espinal. 

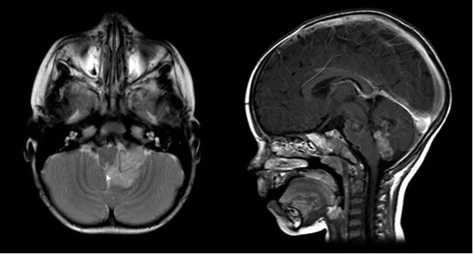
Estos se presentan como tumores sólidos, con frecuencia ubicados en el cuarto ventrículo o en la fosa posterior, que causan obstrucción del flujo del líquido cefalorraquídeo y producen hidrocefalia. También se encuentran como tumores localizados en el interior de la médula espinal.

Causas

No hay una causa claramente establecida para el origen de los ependimomas, pero se sabe que existen cuatro diferentes tipos:

  • Ependimomas mixopapilares (grado I).
  • Subependimoma (grado I).
  • Ependimoma (grado II).
  • Ependimoma anaplásico (grado III).

La patología de estos tumores se puede reportar como tumores que van de grado I a III según la clasificación de la OMS, siendo los grados III los más agresivos.

Síntomas

Los síntomas del paciente dependerán de la localización del tumor. Por lo regular, estos se encuentran ubicados en el interior del cuarto ventrículo, por lo que producen hidrocefalia y provocan:

  • Dolores de cabeza.
  • Náuseas.
  • Vómitos.
  • Problemas de equilibrio.
  • Adormecimiento.

Estos tumores también se pueden localizar en el interior de la médula espinal, causando:

  • Pérdida de la fuerza muscular de los brazos o piernas.
  • Alteraciones en la sensibilidad de los brazos o piernas.
  • Alteración de la temperatura debido a siringomielia asociada al tumor.
  • Problemas para la marcha.
  • Problemas de masa muscular.

Diagnóstico

El estudio inicial para el diagnóstico de estos tumores es la resonancia magnética cerebral con gadolinio o medio de contraste. En este estudio, normalmente se identifica un tumor en el interior del cuarto ventrículo, que se origina en su piso. Por su parte, los tumores que se encuentran en el interior de la médula espinal suelen ser extensos a nivel del canal medular. 

Es importante hacer estudios de líquido cefalorraquídeo mediante una punción lumbar, ya que este puede ser una vía de diseminación de la enfermedad.

El diagnóstico definitivo de estos tumores únicamente se puede hacer mediante un estudio de patología y análisis molecular, el cual será de gran utilidad para poder establecer el tratamiento.

Tratamiento

Cirugía

El tratamiento principal de estos tumores es la cirugía, la cual permite la extirpación del tumor. Es importante evaluar el origen del tumor ya que, como se mencionó anteriormente, estos pueden generarse del piso del cuarto ventrículo, lo que imposibilita la resección completa del tumor para prevenir mayores secuelas. 

Quimioterapia o “quimio”

La quimioterapia es administrada por un especialista o neurooncólogo. El uso de agentes biológicos quimioterapéuticos permite que las células tumorales sean radiosensibles para el tratamiento complementario con radioterapia.

Radioterapia

La radioterapia funciona con la aplicación muy precisa de altas dosis de radiación directamente en el tumor, la cual se aplica por medio de múltiples haces que convergen en un punto delimitado del tumor.

Esta radiación actúa a nivel del DNA en las células tumorales, alterándolas para prevenir que se continúen replicando de manera anormal.

Existen dos modalidades generales para el tratamiento en estos pacientes:

  • Radioterapia: consiste en administrar una dosis que se divide en múltiples sesiones. Por lo general, la dosis total se divide en aproximadamente 28 sesiones y se aplica diariamente, de forma gradual, durante casi un mes. Esta técnica se aplica generalmente cuando los volúmenes tumorales son relativamente elevados.

  • Radiocirugía: aquí se establece una única dosis, que se administra en una sola o en pocas fracciones. Esta técnica se aplica usando un acelerador lineal (LINAC), Gamma Knife o bomba de protones. Para ser candidato a esta técnica, el volumen o tamaño de la lesión debe ser pequeño y no estar en íntimo contacto con estructuras vitales (por ejemplo, el nervio óptico o el tallo cerebral).

La radioterapia es aplicada por un equipo de especialistas, formado por un neurocirujano especialista en radioterapia o por un radiooncólogo, además de físicos médicos, quienes, en conjunto, analizan el objetivo y evalúan la mejor alternativa de tratamiento.

Craneotomía

Radiocirugía

Haz una

Cita